
While walking along a desolate stretch of a Wyoming highway near Rawlins in the late hours of Jan. 15, 2018, Jennifer Chapman was struck by a semitruck hauling cattle. Going 65 mph, the semi propelled the 110-pound woman 100 feet into the ditch.
Chapman doesn’t know why she was walking along the highway that night — she can’t remember anything from the month prior to being hit. Maybe she’d run out of gas? Her friends said she’d been missing for about 12 hours.
It was zero degrees outside when the helicopter arrived to transport Chapman to Wyoming Medical Center in Casper. Her blood pressure was only 53/30. She had multiple head lacerations and gashes to her extremities, according to Cari Hacking, trauma coordinator for Wyoming Medical Center. Frostbite and hypothermia had set in. Upon arrival at the hospital, Chapman went into cardiac arrest, and it took almost six minutes to revive her.
Despite the efforts of the medical team to save her, the 39-year-old woman and mother of three danced with death. She needed 10 units of blood. She was in shock, and because of her expanding head injury, the trauma team made the call to have her transported to UCHealth Medical Center of the Rockies, a Level II trauma center in northern Colorado.
Chapman’s probability of survival was less than 13%, Hacking said.
Returned to thank hospital staff
In the past 22 months, Chapman has battled, first to stay alive and then to get her life back.
She’s struggled through pain, surgeries and therapy, and mental battles — finding the strength to continue living.
“I can say that being hit by the semi is one of the easiest things I’ve gone through,” she said, noting that the months after the accident were nearly unbearable.

Chapman, a walking miracle, is a testament to human will. Despite all that she had been through, she maintained her gratitude for those who had cared for her during the 57 days she was at MCR. On Oct. 30, 2019, Chapman confronted the season’s first big snowstorm and returned to Medical Center of the Rockies. She walked into a room filled with nurses, technicians, surgeons and therapists to say thank you.
“This room is full,” she said with a nervous crackle. Her voice softened as she continued, “It really shows how much I was cared for. … I remember the constant care for my wounds and the multiple surgeries, times when I couldn’t use my arms.”
Medical Center of the Rockies receives about 1,500 trauma transfer patients annually, a third of which come from surrounding rural hospitals in northern Colorado, Wyoming and Nebraska. MCR meets all other Level I criteria as defined by the American College of Surgeons but does not currently meet the higher state requirements for the number of critically injured patients admitted per year, according to Kathleen Martin, senior director of Trauma Services for UCHealth in northern Colorado.
On the day Chapman returned to thank hospital staff, experienced trauma professionals in the room were astounded by her recovery.
“It’s amazing to see how well you are doing,” said Dr. Christopher Mitchell, MCR trauma surgeon.

Trauma patient arrives from rural Wyoming
When Chapman first arrived at MCR in 2018, the trauma room filled with representatives of most of the medical specialties: trauma surgeon, orthopedic surgeon, critical care nurses, technicians, a phlebotomist, anesthesiologist, neurologist, radiologist and plastic surgeon. In all, she received 17 units of blood. The team stabilized her and continued intubation to help her breathe while she remained under anesthesia for seven days.
Milo Mijatovic was one of her intensive-care nurses. “Your head injury was a concern, so we continued to do neuro exams,” he explained to Chapman. “We wanted to help get you better without causing more problems, and nursing plays a big part in that by reducing risks of infection and managing pain.
“We were looking at the big-picture things and the little-picture things all at the same time,” Mijatovic said.

Although Chapman doesn’t remember much of the first few weeks at MCR, she does remember how scared she was when she first started to wake and hearing the comforting voices of her nurses.
“At some point I remember them talking to my brother — he was praying with them,” she recalled.
Multitude of traumatic injuries

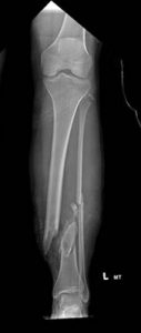
Chapman’s accident resulted in two open fractures in her legs that needed to be stabilized, and she lost a lot of skin that would need coverage, according to her orthopedic surgeon, Dr. Michael Rusnak. He used cement rods as a temporary stabilization that would later be replaced with metal.
“There was tissue damage around the bone, so there was an issue with blood flow,” he said. “I brought in (Dr.) James (McCarthy) to help. This was really a team approach.”
“Team, team, team,” reiterated Dr. James McCarthy, UCHealth plastic and reconstructive surgeon in northern Colorado. McCarthy turned to Chapman and said, “You were essentially dead, and we brought you back to life. It took an overwhelming team coordination, and it highlights the importance of a team within our OR (operating room).”
McCarthy covered the exposed rod and bone in Chapman’s right leg with muscle in the area, as he would in most cases. But her body rejected this technique with an infection. McCarthy went back in, transplanting a muscle from Chapman’s back, including its associated vein and artery, and meticulously attached the 2-millimeter blood vessels together — called microsurgery — to return the blood flow to Chapman’s damaged leg. The medical team had to do all of this while also ensuring her legs would have no deformities that could affect her mobility.


So many hospital staff to thank
One of the most challenging obstacles for the therapy team was figuring out how to get Chapman moving when her injuries prevented her from being very mobile, said MCR physical therapist Josh Amundson.
With so much damage to her body, Chapman feared the pain that would come with even the smallest movements. Anxiety riddled Chapman’s every move, but Amundson kept reassuring her.
“I remember our first day,” he told Chapman. “You could only sit on the edge of the bed for seven minutes with two of us helping hold you.”
Therapy, therapy, therapy


Mobility encompasses everything, even the basic functions many take for granted, like swallowing.
Being intubated and on a feeding tube results in lax and swollen voluntary muscles, such as the throat. Sitting up in bed to eat or drink was painful. Chris Kocourek was one of five speech therapists who worked with Chapman throughout her time at MCR, helping her retrieve and retrain some of those basic functions.
From the brinks of bitter cold
Chapman’s frostbitten fingers also needed attention.
“The tips of her fingers were black due to dead tissue,” said McCarthy, who also does hand surgery.
The standard of care for frostbite is to first let the wounds declare themselves, as many times the fingers will bounce back, he said.
Chapman’s hands were splinted in a functional position, and the therapy team got them moving with lots of hand therapy.
Chapman was prepared that she might not get all of her fingers back, but health was restored to all but the tip of Chapman’s one pinkie.
Traumatic brain injury
Chapman also suffered a traumatic brain injury (TBI) from the accident, which causes confusion and memory problems, among other mental and emotional difficulties. Kocourek recalls a cognitive-status test and Chapman’s reaction when she correctly answered the question: What is the capital of Colorado?
“You were so happy that you wanted to call your friends,” he said, grinning.

The occupational therapy team continued to educate Chapman on her TBI. She still uses dialectal behavior and cognitive therapies to help her control emotions, which can sometimes run rampant as a result of the TBI.
“I’ll get stuck on a thought, and it will take a lot to get it out of my thinking,” she explained. “It’s been harder than the physical part.”

She uses word and number puzzles to strengthen her brain, and she’s leaned on counseling to help with her anxiety and depression.
“When I get down, I try to think of those little steps again, like when I was able to straighten my legs for the first time,” she said. “When everything goes wrong, I think about how I can at least get into the shower.”
Trauma patients’ mental battles
It’s important to remember that the mental challenges after such a traumatic event can be just as crippling as the physical afflictions, McCarthy explained.

“The body is one thing, but a huge aspect behind body is the soul and mind,” he said.
McCarthy spent hours at Chapman’s bedside; He gave her brownies that his wife made, and even brought in his children to visit with Chapman while he did his hospital rounds.
Chapman’s children, now ages 6, 10 and 12, spent most of her hospitalization time back in rural Wyoming with their father. She missed them, and the added company from youngsters boosted her spirits and reminded her why she needed to continue fighting to heal.
Regaining strength, regaining life

Her kids still provide her with that strength, as do a few other things that have returned to her life.
Chapman is back to substitute teaching. She said she gained a new perspective having to teach students from a wheelchair while she recovered from two more leg surgeries.
And she recently returned to helping coach gymnastics and achieved her certification from USA Gymnastics to be a judge.
She’s come a long way from the first time she was able to stand on her own, but that journey helps her move forward.
“The first time I put my heels down on the floor, I remember thinking, ‘If I can do that, I can walk, and if I can walk, I can dance.’”
Patient grateful for care

Prior to the accident, Chapman loved to dance.
She has returned to that passion, too. As a member of the Creekside Performing Arts in her hometown of Buffalo, Wyoming, she helped put on a Relay for Life musical fundraiser. It was the third year she’d participated, but the first time since her accident.
“It was not great dancing, but we made a show out of it,” she said as a smile lit her face.
Chapman played a clip from that performance to the room full of medical staff during her recent visit to MCR.
In the video, Chapman parades onto stage atop a man’s shoulders; only a leotard and thin stockings cover what had once been her immobile body. He lifts her into the air, her legs extend as he twirls around, and then they finish the routine, Chapman now dancing on the floor, with their own rendition of YMCA.
Applause breaks out — both on and off camera.
“I’m still on that journey to live, not just survive,” she admitted. “But the doubts about if God even cares, seeing that many people in the room, I’m like, ‘OK, Jen.’ … I have lots to be thankful for.”