
Nobody wants to break an arm or leg. But there is a tried-and-true method for allowing an injured limb to heal: immobilize it with a cast and maybe watch signatures from well-wishers collect on it.
It’s not so easy when ribs fracture. The bony structures are attached to the chest wall and involved in every breath. “We use casts so injured body parts don’t move during healing,” said Erik Peltz, DO, assistant director of Trauma and Acute Care Surgery (TACS) at University of Colorado Hospital. “How can you not breathe?”
There is therefore plenty of discomfort when a person breaks a single rib or maybe two. A cough or sneeze can be agonizing. But the ribs generally will heal in several weeks, and painkillers and restricted activity will help the patient get through the ordeal.
That relatively easy route wasn’t open to Ken Custy, however. In mid-June, the 62-year-old saddled up a horse he boards northeast of Denver. The saddle cinch wasn’t quite secure, and it slipped. The horse panicked, bucked several times, and threw Custy off. He fell heavily on his right side, the wind knocked out of him.

Custy knew he was hurt, but he got back on the horse with the help of a couple of guys who ran over and rode around the pen for 15 minutes or so.
“It’s a cowboy thing,” Custy explained.
When he decided to quit, a woman who works at the stable helped Custy get his horse unsaddled and followed him home, where his wife Carol met him and drove him to the Emergency Department at UCH.
“I was feeling pretty poorly about that time,” Custy recalled.
Rocked ribs
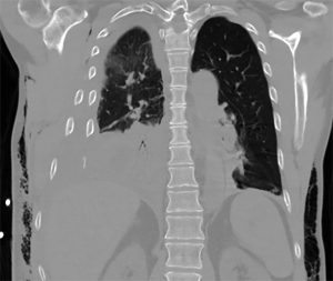
That was understandable. Custy had broken 8 of the 12 ribs on his right side in the fall. Five broke in two places, leaving them floating free of the chest wall. He’d also bruised and lacerated his right lung. That caused a “significant” air leak, and blood entered the cavity surrounding and lining the lung, said Peltz, who took on Custy’s case when he arrived at the ED.
Custy went to the hospital’s Surgical/Trauma Intensive Care Unit, where staff helped to manage his breathing and pain, which was considerable. For a week, Peltz and his team consulted with Custy and his family. They decided to wait in hopes of the ribs beginning to heal together, but his punctured lung slowly collapsed, cutting its capacity by 30 percent. He was at risk for pneumonia and “permanent, severe pulmonary disability,” Peltz said.
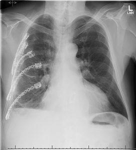
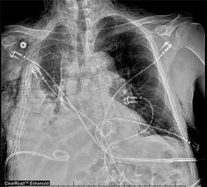
On the last day of June, Peltz and cardiothoracic surgeon Robert Meguid, MD, MPH, decided Custy couldn’t afford to let nature take its healing course. They turned to hardware to repair the fractures: horseshoe-shaped titanium devices fitted over the front and back of each rib and secured with screws. These “rib plates” also helped to stabilize Custy’s chest wall, Meguid said. He and Peltz also drained blood out of the pleural cavity, allowing the right lung to expand. In addition, they found that a shard of one of the fractured ribs had sliced his diaphragm, exposing a portion of his liver. They repaired that laceration during the procedure.

Less than two weeks after the surgery, Custy left UCH, weak and 20 pounds lighter, but free of chest tubes and supplemental oxygen. In early October he was still doing some physical therapy and managing what he described as “dullish” nerve pain and stiffness, but he said he now has the “prospect of normalcy.” He has gone back to horse riding and hopes to hit the ski slopes again this season with Carol.
“I feel like I’m recovering steadily,” Custy said.
Teaming up to tame trauma
Rib-plating technology isn’t brand-new, nor was Custy’s case the first collaboration between Peltz and Meguid. They did their first plating procedure together three years ago. But they’ve handled a half dozen in the past six months, in large part because of a protocol they’ve developed to identify the most serious rib fracture cases, like Custy’s, as early as possible, and surgically stabilize them with the plates. Ideally, that happens within 72 hours, Peltz said, although Custy’s case was a bit different because his lung injury worsened over a period of days.
The rib-fracture protocol, in turn, reflects the growth and sophistication of TACS, which launched in 2013 to beef up and streamline surgical and critical care to severely injured patients at UCH. Between fiscal year 2014 (which began July 1, 2013) and fiscal year 2016, the number of trauma cases at UCH increased by nearly a quarter. The number of the most serious cases, as measured by the Injury Severity Score, grew by more than a third during that period (see graph).
The increasingly serious traumas, many involving the chest wall, call for multidisciplinary care that extends well beyond the operating room, Meguid said. The process includes not only making joint decisions on the most appropriate procedure, but also managing the patient’s entire course of recovery, through post-op, critical care, discharge, follow-up clinic visits, and therapy.

Peltz explained that full recovery relies on support and active management from a multidisciplinary team, including surgery, surgical critical care and physical and occupational therapy – all essential components of the trauma system developed at UCH. The system gives patients the best chance to rehabilitate and achieve the full benefits of the surgical management, he noted.
Surgical synergy
Peltz and Meguid said their clinical partnership has made them better, which in turn pays off for patients. “We could do the rib-plating procedure independently, but together we’re more efficient and can optimize the care we deliver our patients,” Peltz said.
“We learn from each other,” Meguid said.
But they readily admitted that working together requires commitment and planning. For a procedure like Custy’s for example, separate nursing and anesthesiology teams from Trauma and Cardiothoracic Surgery are both present in the OR.
That demands strong working relationships and systems to respond quickly to situations like Custy’s nasty equine spill. As Peltz put it, “You have to be flexible and ready to act. Nobody anticipates traumas happening three months ahead.”
“There was a roomful of providers,” Custy recalled. “The dream team was all there.”
The TACS team works to promptly respond to and quickly stabilize trauma patients, but they base subsequent clinical decisions on close observation of what happens in the time that follows. Custy said he gained an appreciation of the team’s patience in making decisions about his care.
“It was a long hospital stay, but I understand why,” he said. “It was wise to get all the right physicians together and wait on the surgery. It might not have been as successful otherwise.” He added that all his nurses and other providers were “efficient, but they didn’t hurry through anything.”
The long-range view should, in turn improve both the duration and quality of Custy’s life, Peltz concluded.
“He should be able to resume all normal activity, with no shortness of breath,” he said. “Without the rib plates, he might have spent months to years trying to recover and not gotten back to baseline. Working together, and combining the expertise of trauma surgery, thoracic surgery and surgical critical care gives us the best opportunity to return patients, like Ken, to the life and activities they enjoyed before their injuries.”