
Mike Moyles sits in an exam room. He’s not on the papered exam table, but in a chair that’s a computer screen away from Dr. Denise Damek. Damek, a neuro-oncologist at UCHealth University of Colorado Hospital on the Anschutz Medical Campus, clicks and drags three sets of grayscale images on the screen. The images are of slices of Moyles’s brain.
One set was taken in February, one was taken in April, and one was taken early this July morning. Moyles, 45, drove up from his home in Colorado Springs before dawn, donned a mask that makes an MRI machine even more claustrophobic, and then, despite the scanner’s racket, took a nap.

Moyles has, in the past 19 years, done this dozens of times. He has brain cancer. It started as a slow-growing (grade 2) astrocytoma brain tumor. Then, 18 months ago, a scan like today’s showed that it had morphed into something called glioblastoma multiforme (GBM). An article published in a prominent journal some years back called GBM “the terminator,” “Because most patients with GBMs die of their disease in less than a year and essentially none has long-term survival….”
Moyles has since 1999 gone through 29 rounds of chemotherapy, 42 rounds of radiation therapy, four brain surgeries to remove astrocytoma brain tumors, and four skull reconstructions (his hairline is indented and scarred; beneath, his forehead is acrylic). Through it all, he has maintained a fitness routine that has him in a perpetual state of marathon readiness. Despite such exams having become routine, he is on edge in this exam room, even if he hides it well.
“You would think you would get used to it after 19 years,” Moyles said earlier, before the exam room opened up. “I never, ever get used to it. Still don’t sleep the night before. Still pray the entire drive.”
His wife, Angie, usually comes along, but had a conflict. She texted him: “I just want you to know that I’m praying for you and I love you.”
Damek eases in with some general health questions. His triglyceride numbers were high last time they checked. Moyles admits to having “a chocolate problem. It’s diagnosed, but it’s probably not in my record.”
Damek laughs, then reminds him that chocolate does have its fats. Moyles says he’ll eat less chocolate and more asparagus and Brussels sprouts. Though, he adds, “that sounds harder than chemo.”
“How about tomatoes and broccoli?” Damek says. Moyles laughs now. Then the unspoken question of the scan results fills the quiet.
94 feet, 26.2 miles
Mike Moyles’s dad was an Air Force officer, as was his grandfather. Moyles has always wanted to be an Air Force officer, too. But not just an officer.
“I wanted to be a general,” he says. “I was seeing stars, and God help you if you got in my way. I was going to go under, over or through anyone I had to get what I wanted, and that was a star.”
He was on his way by 1999. The IT and satellite communications specialist was moving from post to post every couple of years, each with more responsibility. He had proposed to Angie and she had accepted. He was 27; life was on track.

He was also an athlete – a shooting guard. In a December playoff game east of St. Louis, where he was stationed, he dove for a loose basketball at the exact moment an opponent did. Their heads collided. Moyles was unconscious for 30 seconds and had a hard time moving his right arm when he came to. There was an MRI the next day. Beyond the pinched nerve causing the arm problem and an obvious concussion, the collision on the court had done no additional damage. But there was what they call an “incidental finding.” Incidental does not mean trivial. They had found, incidentally, an astrocytoma brain tumor in his right frontal lobe.
He and Angie married on April 29, 2000. Exactly a year later, he went in for his first brain surgery. They had gotten it, they told him. The Moyleses could go on their honeymoon, start a family, and Mike could continue working his way up the Air Force hierarchy without the distraction of a astrocytoma brain tumor.
He went on temozolomide (trade name Temodar) chemotherapy. Playing contact sports was a no-go, ending his basketball career. Moyles, who was used to running, as he put it, “94 feet” (the length of a basketball court), got into running hundreds of times farther. It helped with the chemotherapy side effects. It also made him feel better physically and mentally.
“It was a way to prove to myself, to the cancer, to my family, that I’m back,” he says.
He didn’t enjoy running at first. But as the mileage piled up, he came to view his exercise differently. First, there was the endorphin rush. Second, “I became to equate exercise with cancer. If I didn’t run, cancer had won that round.”
An astrocytoma brain tumor, but back with vengeance
The 90-day screenings continued, and the scans stayed clear. Until, four years later, they didn’t. It was still an astrocytoma brain tumor, but it was bigger and growing faster. On April 29, 2005, his and Angie’s fifth anniversary, he had his second brain surgery. He ran his first marathon in Spokane, Washington, in 2005, between his tenth and eleventh rounds of chemotherapy.
There was a recurrence, more chemotherapy, and in January 2008, a third brain surgery – this time a lobectomy, to remove not only tumor, but also the surrounding right frontal lobe. It’s the brain’s emotional control center and the home to processing for reasoning, language, long-term memory, emotions, judgment, motor function and more. Damage to it can cause behavioral and emotional changes, memory loss, speech changes, and problem with movement, among other things. No small matter for a high-achieving Air Force officer. But as had been the case after previous surgeries, Moyles experienced no deficits – “besides the ones I already had,” he joked. There were no obvious behavioral changes, either.
He underwent 42 straight days of high-dose radiation therapy after the 2008 surgery, during which he was also doing chemotherapy. He was so weak, he could, as he put it, “barely pick up a can of soda.” Still, Moyles dragged himself out on marathon training runs, knowing that exercise was how he would get his energy back. Damek says that while Moyles is certainly an outlier on the exercise front, the evidence shows that patients who are active despite their cancer do better overall.
Angie gave birth to daughter Ellie two months after the surgery. His cancer was in remission. But an infection triggered by the radiation treatment took root in his skull, ultimately requiring a surgery to remove one-third of it – his entire forehead, essentially – and then, several months later, in 2010, a second surgery to replace the missing bone with an acrylic prosthetic.
Moyles continued working. He had, despite it all, stayed on track, career-wise. The 90-day scans kept coming back clean. In 2015, he, Angie and Ellie moved to Colorado. Moyles, a full colonel now, became the military equivalent of a corporate chief technical officer for U.S. Northern Command in Colorado Springs. He remained driven professionally and in terms of his running. But the tumor’s recurrence in 2005 and its aftermath had shifted his focus irrevocably.
“Promotion was meaningless now,” he says. “I restructured my whole life, very literally, around three things: faith, family, and fitness, in that order.”

Angie says their daughter’s arrival marked the most noticeable change in her husband. The focus had been on that general’s star and being “the best of the best at everything he did.” When Ellie came along, it became, “I’m going to beat cancer at all costs to be there for her. I think that’s really his underlying drive,” she says.
GBM
Recognizing that he needed access to a wide spectrum of specialized care, Moyles turned to the University of Colorado Cancer Center at UCHealth, where the scans every 90 days continued. In June 2015, a section of brain glowed brightly. Brain should show up gray.
Cancer had returned, and what had been an astrocytoma brain tumor had become a grade 4 GBM – a “terminator” brain tumor.
He and Angie broke down right there in the exam room. “We completely lost it,” Moyles says. But they regrouped. “We fight this the same way we fought the grade 2 tumors. How we fought for the last 18 years,” they told each other.

Moyles went in for his brain tumor surgery in December 2016 and surgeons removed a tumor a bit larger than an inch across. At UCHealth, he went back on chemotherapy (he can no longer do radiation therapy, having hit his lifetime limit). They got the tumor out, but the bones around his prosthetic forehead became infected. UCHealth pathologist Dr. Katherine Frasca characterized the microbe. It was clear that the prosthetic would have to come out, too. In February 2017, it did, in a surgery performed by UCHealth neurosurgeon Dr. D. Ryan Ormond. It would be 13 months before Ormond would replace it in March 2018. First, Moyles had to finish several rounds of chemotherapy; then the surrounding bone would need time to heal. Not a fan of the foam helmet he was given, Moyles generally just wore a hat – at home, on runs, even during a Spartan race – despite his forehead being, as he put it “skin on brain.”
The 90-day scans in early February 2018 and then in April showed no signs of the brain tumor’s return. Now, in early July, here in this exam room, he would find out if that was still the case.
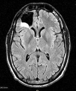
Skulls on screen
The images on the exam room screen differ, but share a common trait – blank space formerly occupied by a right frontal lobe. “New is on top, April is in the middle, and February is on the bottom,” Damek says, referring to the tiles of imager-sliced brain on the flat screen. Then the verdict.
“Your scan looks great.”
That is, there’s no hint of GBM this time, either. Moyles is visibly relieved, slouching as if anxiety had been propping him up.
“I don’t know why this stressed me out. I’ve been doing this for 19 years,” he says.
“It’s stressing you out because it’s your first scan after stopping treatment,” Damek says. “Everybody does this.”
They get into a technical discussion about the nature of a GBMs and why they’re so hard to treat (the “multiforme” means the cells are not genetically uniform, so it’s hard to find a common therapeutic target, Damek explains). They talk about an interesting treatment for GBM patients. Called Optune, it involves using low-power electromagnetic waves via patches worn on the skull to interfere with GBM cells’ division. He’ll fill out the insurance paperwork, but he won’t start it until later this summer: he, Angie and Ellie are going to France first. Having medically retired from the Air Force in October 2017, he won’t have to count the days off.
“So Paris!” Damek says.
“I’m a happy camper,” Moyles says.
Damek does a physical and cognitive exam, which Moyles breezes through, and is off to the next patient. Moyles heads to the Garden View Café for lunch. He says they’ll be staying in Colorado Springs in his retirement. Proximity to UCHealth was a decisive factor. “We knew we couldn’t retire anywhere that didn’t have absolutely top-shelf care in every aspect – infectious disease, neuro-oncology, oncology, radiology, neurosurgery, radiation oncology, plastics and reconstructive surgery,” he says. “The care, the doctors, everything, it’s a home run.”
He taps at an iPad and shares photos from his long fight with cancer. It’s not over, he says.
“It’s coming back. Even now as I sit here, it’s coming back,” he says. “I’ve beaten it five times; I’ll beat it again. I’ll be battling this until I die. Until it kills me.”
The fight will go on. But in the meantime, there’s life to be lived, with family, in Paris and beyond.